Denti Anteriori su Impianti
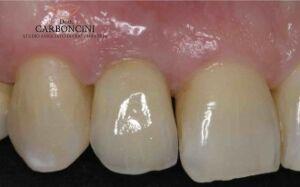
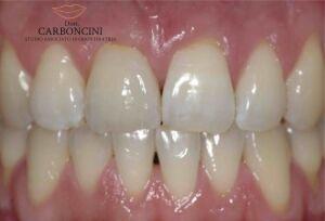
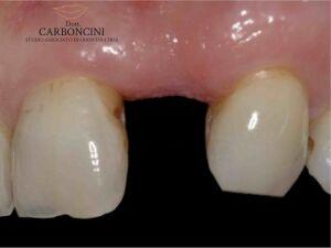
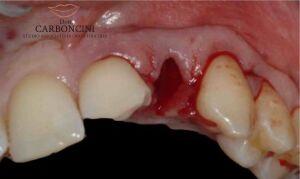
Incisivo laterale su impianto post-estrattivo a carico immediato
Incisivo laterale fratturato in modo irreparabile , la paziente ne chiedeva l’immediata sostituzione . In presenza di condizioni favorevoli , furono eseguite contestualmente l’estrazione , la sostituzione con un impianto e l’inserimento di un provvisorio . Dopo sei mesi fu realizzata la protesi definitiva .
Restauro protesico eseguito con un impianto e una corona in oroceramica .

PRIMA

DOPO
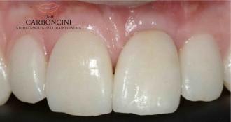
Un impianto e tre faccette
Il giovane paziente aveva perso l’incisivo centrale sinistro a causa di un incidente stradale ed era portatore di una piccola protesi rimovibile da qualche anno ; chiedeva di eliminare la protesi rimovibile e possibilmente di chiudere gli spazi fra gli incisivi . Fu quindi inserito un impianto e successivamente realizzate una corona e tre faccette .
Restauro protesico eseguito con un impianto , una corona e tre faccette in disilicato di litio .
METAL-FREE

PRIMA

DOPO
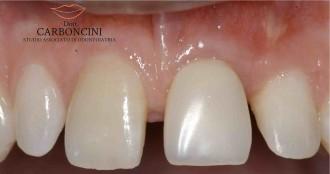
Sostituzione di un incisivo centrale con un impianto
L’incisivo centrale sinistro si era fratturato e non era più recuperabile ; fu sostituito con un impianto e una corona .
Restauro protesico eseguito con un impianto e una corona in zirconia-porcellana .

PRIMA

DOPO
Sostituzione di un incisivo centrale con un impianto post-estrattivo immediato
Incisivo centrale superiore destro fratturato durante una partita di calcio . Sostituzione con un impianto dopo estrusione ortodontica della porzione di dente residuo e protesizzazione immediata .
Restauro protesico eseguito con un impianto e una corona in zirconia-ceramica .

PRIMA

DOPO
Sostituzione di un incisivo laterale con un impianto a carico immediato
L’incisivo laterale di sinistra mancava da molti anni e la paziente portava una protesi rimovibile per rimpiazzarlo . Fu inserito un impianto e , grazie all’ottima qualità dell’osso , un provvisorio fisso immediato .
Restauro protesico eseguito con un impianto e una corona in metalceramica .

PRIMA

DOPO
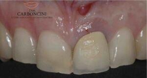
Sostituzione di un incisivo centrale con un impianto
Il paziente presentava l’incisivo centrale di destra affetto da riassorbimento radicolare pressochè completo che era causa di estrema mobilità del dente e di un evidente problema estetico . Il trattamento fu eseguito prima estraendo il dente , poi ricostruendo osso e gengiva per consentire il corretto posizionamento di un impianto .
Restauro protesico eseguito con un impianto e una corona in ceramica integrale .

PRIMA

DOPO
Sostituzione di un incisivo centrale con un impianto post-estrattivo immediato
La paziente aveva perso , a causa di un incidente , la corona dell’incisivo centrale di sinistra , che presentava anche una frattura della radice . Il dente fu sostituito con un impianto e con una corona provvisoria immediata .
Restauro protesico eseguito con un impianto e una corona in ceramica integrale .

PRIMA

DOPO
Sostituzione di un incisivo laterale perso in incidente stradale con un impianto
L’incisivo laterale superiore sinistro è stato perso a causa di un incidente stradale , e l’incisivo centrale si è rotto nella stessa occasione .
Restauro protesico eseguito con un impianto e una corona in ceramica integrale sull’incisivo laterale e con una faccetta in ceramica sull’incisivo centrale .

PRIMA

DOPO

