Denti Posteriori su Impianti
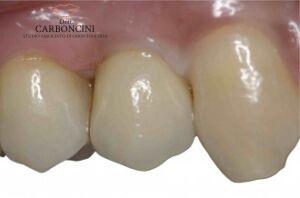
Due premolari superiori
La paziente era portatrice di protesi parziale rimovibile , ma desiderava liberarsene . La quantità e qualità di osso a disposizione resero possibile l’inserimento di due impianti e la loro immediata protesizzazione (carico immediato) . Restauro protesico eseguito con due impianti e due corone in metalceramica.

PRIMA

DOPO
Ponte su impianti
Fallimento di una protesi fissa per frattura del canino e carie delle radici del molare . I due denti furono estratti e sostituiti con tre impianti per realizzare una nuova protesi fissa .
Restauro protesico eseguito con tre impianti e un ponte di 4 elementi in oroceramica.

PRIMA

DOPO
Ponte di quattro elementi
Mancanza di tutti i denti posteriori dell’emiarcata superiore destra .
Restauro protesico eseguito con 3 impianti e un ponte di 4 elementi in oroceramica.

PRIMA

DOPO
Nome del caso clinico
Paziente parzialmente edentula nell’emiarcata inferiore sinistra , riabilitata grazie al reintegro di due molari e un premolare supportati da impianti .
Restauro protesico eseguito con tre impianti e tre corone in oroceramica.

PRIMA

DOPO
Un premolare superiore
Il paziente aveva perso il primo premolare superiore destro a causa della malattia parodontale .
Restauro protesico eseguito con un impianto e una corona in metalceramica.

PRIMA

DOPO
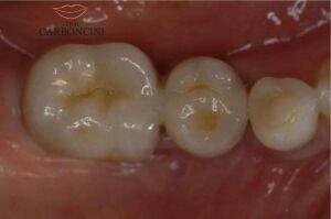
Un molare e un premolare inferiori
Paziente parzialmente edentula riabilitata con protesi fissa su impianti nell’emiarcata inferiore destra .
Restauro protesico eseguito con 3 impianti e due corone in oroceramica.

PRIMA

DOPO

