Restauro di Denti Anteriori
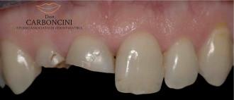
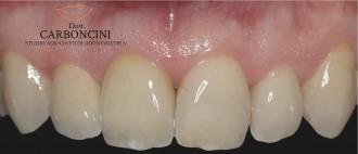
Tre incisivi superiori
Lorem ipsum dolor sit amet, consectetur adipiscing elit. Vivamus finibus mi maximus neque bibendum, nec cursus tortor ornare. Aenean vel neque et justo tincidunt iaculis. Sed egestas suscipit condimentum. Curabitur a justo justo. Quisque ac erat arcu. Curabitur scelerisque massa sed eros tristique ultrices.

PRIMA

DOPO
Restauro protesico di due incisivi superiori
Il paziente aveva subito la frattura dei due incisivi superiori di destra in un incidente stradale . I due denti furono devitalizati e ricoperti con due corone .
Restauro protesico eseguito con 2 corone in disilicato di litio. METAL-FREE

PRIMA

DOPO
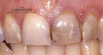
Sostituzione di corona su incisivo centrale di destra
Corona in ceramica insoddisfacente per recessione del margine gengivale che mette in mostra porzione di radice scura . Anche la qualità della ceramica non è soddisfacente .
Restauro protesico eseguito con corona in zirconia-porcellana. METAL-FREE

PRIMA

DOPO
Sei denti anteriori superiori
Paziente con grosso problema estetico causato dal sorriso gengivale e dalla forma e qualità delle vecchie corone in porcellana . Il caso fu risolto grazie a un intervento chirurgico per ridurre il sorriso gengivale e alla realizzazione di 6 nuove corone in porcellana .
Restauro protesico eseguito con 6 corone in disilicato di litio. METAL-FREE

PRIMA

DOPO
Restauro protesico di un incisivo superiore
L’incisivo superiore sinistro era fratturato ed era stato precedentemente ricostruito , ma la paziente ovviamente non era soddisfatta del risultato estetico . Arrivata alla nostra attenzione , fu consigliata una ricopertura con corona completa .
Restauro protesico eseguito con una corona in zirconia e porcellana . METAL-FREE

PRIMA

DOPO
Restauro protesico dei 4 incisivi
I 4 incisivi superiori erano erosi dalla parte interna a causa della bulimia e consumati a causa del bruxismo , perciò apparivano più corti conferendo un aspetto “triste” al sorriso .
Restauro protesico eseguito con 4 corone in ceramica integrale . METAL-FREE

PRIMA

DOPO
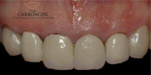
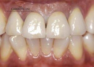
Tre incisivi
La paziente presentava tre corone in metalceramica con esposizione del bordino metallico ed era insoddisfatta dell’estetica . Le corone furono sostituite da tre nuove corone in ceramica integrale .
Restauro protesico eseguito con corone in ceramica integrale. METAL-FREE

PRIMA

DOPO
Restauro protesico di canino superiore
La paziente si presentò con il canino superiore sinistro fratturato . Fu necessario procedere ad una estrusione ortodontica della radice , un intervento chirurgico per esporre una parte della radice residua e alla realizzazione di un perno moncone .
Restauro protesico eseguito con una corona in oroceramica .

PRIMA

DOPO
Restauro protesico di un incisivo superiore
Incisivo centrale superiore devitalizzato e con vecchia ricostruzione in composito: il paziente chiede se è possibile migliorarne l’aspetto.
Restauro protesico eseguito con una corona in zirconia-porcellana. METAL-FREE

PRIMA

DOPO
Ponte anteriore
La paziente , che aveva perso anni addietro i due incisivi centrali , non era soddisfatta del vecchio ponte in metallo-ceramica e chiedeva di cambiarlo. Dopo aver correttamente trattato anche le gengive , compresa la zona edentula , fu realizzato un nuovo ponte.
Restauro protesico eseguito con un ponte di 4 elementi in zirconia-porcellana. METAL-FREE

PRIMA

DOPO
Restauro protesico di quattro incisivi superiori
La paziente presentava una corona sull’incisivo laterale di destra e gli altri tre incisivi devitalizzati e con ricostruzioni in composito non soddisfacenti dal punto di vista estetico.
Restauro eseguito con quattro corone in oroceramica.

PRIMA

DOPO
Sostituzione di vecchie corone in un gruppo frontale superiore
Il paziente presentava delle vecchie corone in oro-resina consumate e insoddisfacenti come colore.
Restauro protesico eseguito con corone in metalceramica.

PRIMA

DOPO
Restauro protesico di un incisivo superiore
L’incisivo centrale superiore di destra si presentava di colore diverso dal centrale di destra a causa di una pregressa devitalizzazione causando imbarazzo al paziente . Fu consigliata la ricopertura con una corona.
Restauro protesico eseguito con una corona in ceramica integrale. METAL-FREE

PRIMA

DOPO
Restauro protesico di un incisivo superiore
Incisivo centrale superiore destro fratturato a causa di un incidente durante una partita di basket . Il dente era devitalizzato .
Restauro protesico eseguito con una corona in ceramica integrale . METAL-FREE

PRIMA

DOPO
Restauro protesico dei 4 incisivi superiori
Gli incisivi superiori erano tutti devitalizzati e ricostruiti in composito e la paziente chiedeva una ricopertura protesica al fine di uniformarne il colore .
Restauro protesico eseguito con 4 corone in ceramica su cappette aurogalvaniche.

PRIMA

DOPO
Restauro protesico di due incisivi superiori
I due incisivi superiori presentavano delle vecchie ricostruzioni in composito ed erano anche di forma incongrua a causa dell’usura dei margini incisali : si consideri che il rapporto lunghezza:larghezza è negli incisivi centrali di 10:8 . Si consigliarono due corone per ripristinare le dimensioni e il colore adeguati .
Restauro protesico eseguito con corone in zirconia-ceramica. METAL-FREE

PRIMA

DOPO
Sostituzione di due corone sugli incisivi centrali superiori
Questi due incisivi presentavano delle corone in ceramica totalmente insoddisfacenti dal punto di vista sia della forma che del colore .
Restauro protesico eseguito con corone in ceramica integrale . METAL-FREE

PRIMA

DOPO

