Protesi fisse
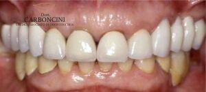
Restauro protesico delle due arcate dentarie
Il paziente presentava diverse ricostruzioni protesiche in via di fallimento , che creavano problemi gengivali e non lo soddisfacevano dal punto di vista estetico. Furono curati i denti e le gengive e realizzati nuovi ponti e corone su entrambe le arcate.
Restauro protesico eseguito con 12 corone in zirconia-porcellana e 14 corone in oro-porcellana.

PRIMA

DOPO
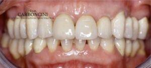
Restauro protesico delle due arcate dentarie
Così è cambiato il sorriso del paziente raffigurato sopra .

PRIMA

DOPO
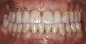
Riabilitazione protesica delle due arcate dentarie
Il paziente chiedeva la sostituzione delle vecchie protesi in oro-resina con delle nuove protesi possibilmente senza metallo e il reintegro dei 4 denti mancanti con impianti osteointegrati.
Restauro protesico eseguito con corone e ponti su denti e impianti , per un totale di 20 elementi in porcellana su zirconia. METAL-FREE

PRIMA

DOPO
Riabilitazione completa di un paziente bruxista
Il paziente presentava gli elementi di entrambe le arcate dentarie gravemente compromessi a causa del bruxismo e dell’erosione chimica ; non riusciva più a masticare per la mancanza di diversi elementi dentari ed aveva problemi nella vita di relazione a causa dell’aspetto estetico (vedi sorrriso sotto) . Il caso fu risolto ricoprendo tutti i denti residui e reintegrando quelli mancanti grazie a ponti fissi e impianti.
Restauro protesico eseguito con 3 impianti (in basso a destra) e 27 corone in oroceramica.

PRIMA

DOPO
Riabilitazione completa di un paziente bruxista
Così è cambiato il sorriso del paziente grazie alla terapia protesica .

PRIMA

DOPO
Ricostruzione di un'arcata superiore
Questo paziente presentava un grado di usura piuttosto avanzato di diversi denti dell’arcata superiore , che aveva provocato uno scivolamento in avanti della mandibola e causava imbarazzo estetico al paziente stesso.
Restauro protesico eseguito con 6 corone e un ponte di 4 elementi in zirconia-porcellana. METAL-FREE

PRIMA

DOPO
Riabilitazione protesica su denti e impianti
Il paziente presentava una situazione gravemente compromessa in entrambe le arcate per carie destruenti e malattia parodontale. Furono curati i denti e le gengive , e inseriti alcuni impianti nell’arcata superiore.
Restauro protesico eseguito con 4 impianti e 22 corone in oroceramica.

PRIMA

DOPO
Riabilitazione protesica su denti e impianti
Il sorriso del paziente delle due immagini precedenti .

PRIMA

DOPO
Restauro protesico per carie e malattia parodontale
La paziente necessitava di un trattamento combinato chirurgico – implantare – protesico per curare i denti che si erano cariati sotto delle vecchie ricostruzioni protesiche in oro-resina. Alcuni denti posteriori (in alto a sinistra e in basso a destra) non erano recuperabili a causa di gravi problemi gengivali e furono sostituiti con degli impianti.
Restauro protesico eseguito con 6 corone in oroceramica su impianti e 14 corone in oroceramica su denti.

PRIMA

DOPO
Sostituzione di ponti e corone superiori e inferiori
La paziente desiderava cambiare i vecchi restauri protesici a causa delle recessioni gengivali , che lasciavano scoperta una parte delle radici degli incisivi , e per rendere uniforme il colore dei suoi denti. Fu eseguito prima uno sbiancamento dei cinque denti inferiori non protesizzati e poi una serie di nuove corone in porcellana.
Restauro protesico eseguito con ponti e corone in oroceramica per un totale di 22 elementi.

PRIMA

DOPO
Riabilitazione protesica delle due arcate dentarie
La paziente presentava una serie di problemi : malattia parodontale , vecchi restauri protesici da sostituire , mancanza di alcuni denti , morso profondo .
Restauro protesico eseguito con 12 corone in zirconia ceramica e 16 corone in oroceramica .

PRIMA

DOPO
Riabilitazione protesica in paziente bruxista
Questo paziente aveva usurato in maniera grave tutti i denti di entrambe le arcate a causa del bruxismo e gli era stato erroneamente consigliato di sottoporsi a un intervento chirurgico per la riduzione della mandibola. Il caso fu invece risolto grazie a una riabilitazione protesica fissa , senza nessun tipo di intervento chirurgico.
Restauro protesico eseguito con 26 corone in oroceramica.

PRIMA

DOPO
Otto denti frontali superiori
Il paziente presentava una protesi in oro-resina , sostenuta dai 4 premolari , per reintegrare i 4 incisivi mancanti , e ne richiedeva la sostituzione per motivi estetici. La resina era consumata e ingiallita e le recessioni gengivali a carico dei premolari avevano esposto parzialmente le radici di questi ultimi.
Restauro protesico eseguito con un ponte fisso di 8 elementi in zirconia-porcellana. METAL-FREE

PRIMA

DOPO
Riabilitazione protesica completa
Il paziente si presentò con tutti i denti usurati , denunciando un deficit funzionale (perdita di capacità masticatoria) ed estetico (denti corti , non visibili nel sorriso). Fu progettata ed eseguita una riabilitazione completa delle due arcate al fine di ripristinare una funzione corretta e un estetica in linea con le aspettative del paziente.
Restauro protesico eseguito con 24 corone in zirconia-porcellana. METAL-FREE

PRIMA

DOPO

