Faccette in porcellana
Un impianto e tre faccette
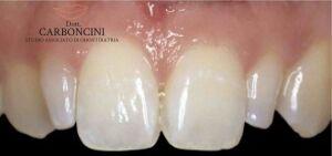
Il giovane paziente aveva perso l’incisivo centrale sinistro a causa di un incidente stradale ed era portatore di una piccola protesi rimovibile da qualche anno; chiedeva di eliminare la protesi rimovibile e possibilmente di chiudere gli spazi fra gli incisivi. Fu quindi inserito un impianto e successivamente realizzate una corona e tre faccette.
Restauro protesico eseguito con un impianto , una corona e tre faccette in disilicato di litio.
METAL-FREE

PRIMA

DOPO
Un impianto e tre faccette
Caso precedente : così è cambiato il sorriso del paziente.

PRIMA

DOPO
Faccette sugli incisivi laterali
I due incisivi laterali malformati creavano imbarazzo alla paziente , la quale chiedeva una riabilitazione estetica. Furono eseguite la correzione ortodontica della posizione dei canini e due faccette sugli incisivi laterali.
Restauro protesico eseguito con due faccette in porcellana. METAL-FREE

PRIMA

DOPO
Microfaccette sugli incisivi centrali
La paziente chiedeva la chiusura del diastema (spazio fra i due incisivi centrali) senza doversi sottoporre a una terapia ortodontica (apparecchio fisso). Il caso fu risolto con due faccette senza limare i denti.
Restauro protesico eseguito con due microfaccette in porcellana. METAL-FREE

PRIMA

DOPO
Microfaccette sugli incisivi centrali
La paziente sorride.

PRIMA

DOPO

