Protesi fisse su Impianti
Riabilitazione protesica su impianti con carico immediato
La paziente presentava una serie di protesi fisse in via di fallimento e fu necessario estrarre tutti i denti , ad eccezione dei sei frontali superiori. Furono inseriti alcuni impianti nell’arcata superiore e altri ( con carico immediato ) nell’arcata inferiore.
Restauro protesico eseguito con 10 impianti e 18 corone in oroceramica.

PRIMA

DOPO
Riabilitazione completa su impianti con chirurgia guidata e carico immediato
Il paziente portava due protesi rimovibili per sostituire i molti denti mancanti nelle due arcate. Dopo l’estrazione degli elementi dentari residui , inutilizzabili ai fini protesici , furono inseriti gli impianti e realizzate due protesi fisse. Il caso fu gestito con una procedura di carico immediato post-estrattivo nell’arcata inferiore e con una chirurgia guidata con carico immediato nell’arcata superiore.

PRIMA

DOPO
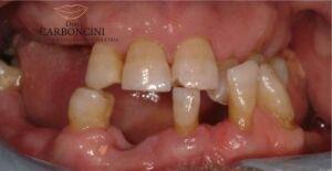
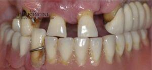
Riabilitazione su impianti dell'arcata superiore
Paziente con grave malattia parodontale , desideroso di sostituire i denti , che stava perdendo , con una protesi fissa. Fu eseguito un rialzo del seno mascellare bilaterale.
Restauro protesico eseguito con 7 impianti e 12 corone in oro-ceramica.

PRIMA

DOPO
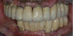
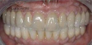
Riabilitazione protesica su impianti in paziente con malattia parodontale
Il paziente aveva perso la maggior parte dei denti a causa della malattia parodontale , e stava perdendo i restanti per lo stesso motivo. Dopo le estrazioni furono inseriti 4 impianti nell’arcata superiore e 4 nell’arcata inferiore seguendo il protocollo del carico immediato.
Restauro protesico finale eseguito con 8 impianti e 22 corone in oroceramica.

PRIMA

DOPO
Riabiltazione protesica su impianti dopo rialzo del seno mascellare
Il paziente , parzialmente edentulo , presentava due ricostruzioni protesiche sostenute da denti che stavano per cadere. Dopo aver estratto gli elementi dentari residui , furono realizzati due rialzi di seno , inseriti gli impianti nei due mascellari ( a carico immediato nell’arcata inferiore ) e realizzate due arcate fisse in oroceramica.
Restauro protesico eseguito con 12 impianti e 24 corone in oroceramica.

PRIMA

DOPO
Riabiltazione protesica su impianti in paziente totalmente edentulo
Paziente portatrice di protesi mobile totale superiore e inferiore , chiedeva una soluzione protesica che le desse maggior comfort , più sicurezza e una efficacia masticatoria ottimale. Il caso venne risolto con due protesi ancorate ad impianti osteointegrati , quattro nel mascellare superiore e quattro nell’inferiore , dopo aver gestito la fase provvisoria con il protocollo del carico immediato.

PRIMA

DOPO

