
Smile Design
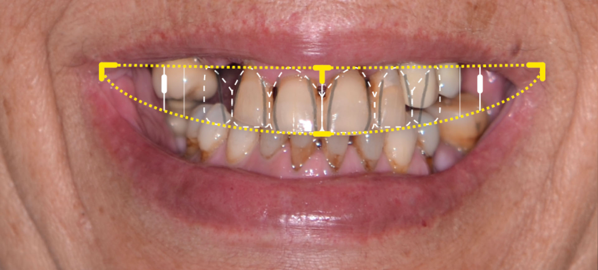
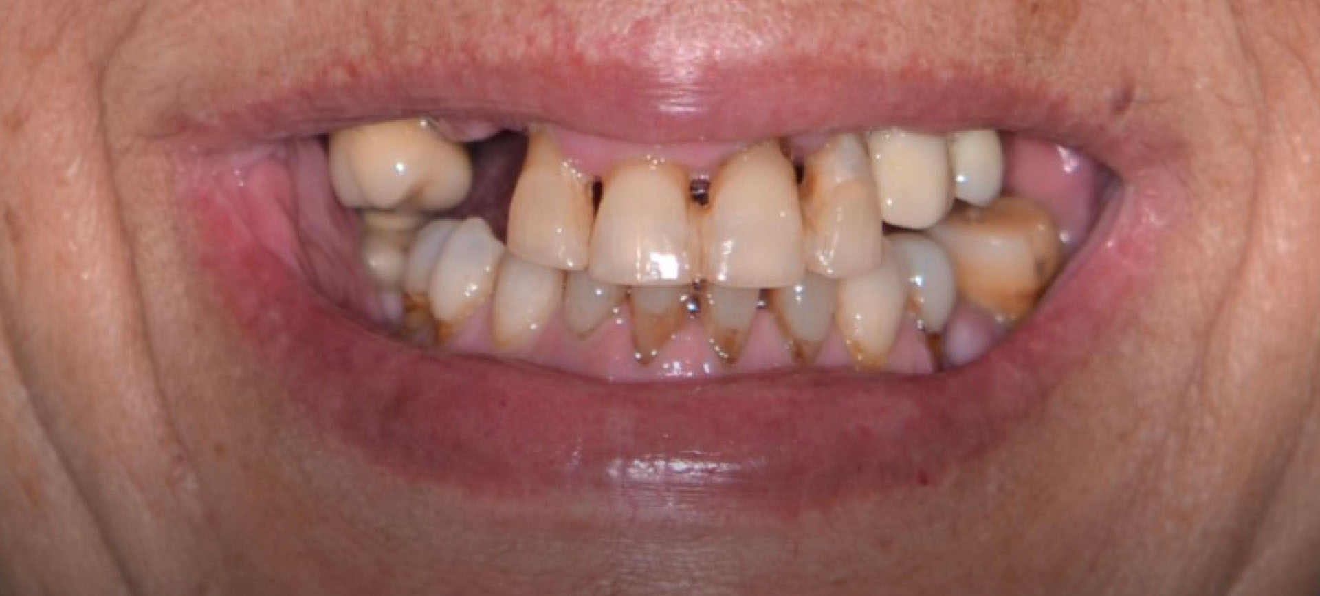
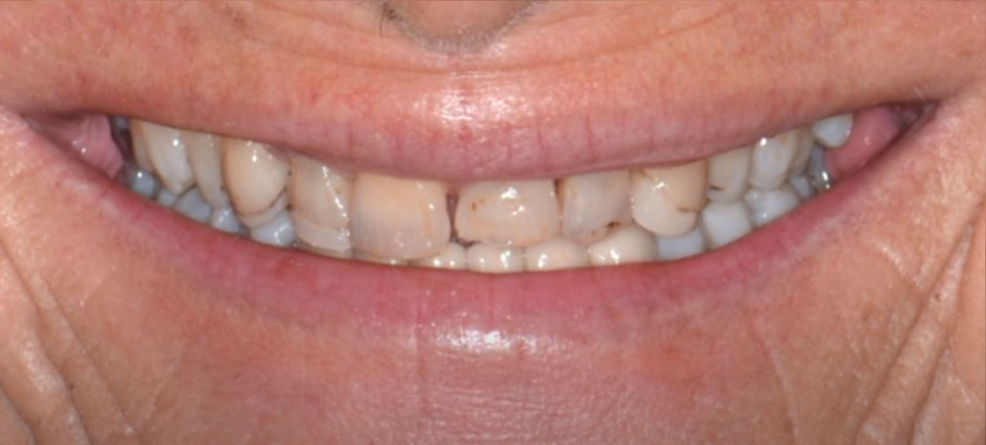
Utilizzando un software di smile design si riesce a vedere un’anteprima realistica delle modifiche estetiche che si intendono fare al sorriso e a scegliere insieme al paziente la forma dei denti più adatta al proprio viso. Si parte sempre da una foto del volto, che per rispetto della privacy non viene mostrato per intero in questi casi reali usati come esempio. Le modifiche concordate possono essere provate in bocca stampando con una resina apposita direttamente sui denti le nuove forme, che se approvate serviranno da guida per la realizzazione di corone, faccette o restauri più estesi.

